ホワイトニングの症例です
マウスを写真に乗せると治療後の写真が出ます
治療前はA3.0という色でしたが
治療後はA1.0より若干白くなっています。写真ではあまり違いがわからないかもしれませんが実際にはお友達からも白くなったね〜といわれるくらい変化しています。
(これより白くすると作り物みたいで変です)
料金は上下すべての歯を白くして
3万円です |

|
外傷の症例です
転んで前歯を打った小児です
左上の前歯がぶつけた事で少し内側に曲がっていました。
曲がった歯を元の位置に戻して噛んだ時にいたくないように接着剤とハリガネを使って固定します
固定期間は2〜4週間です。
固定期間中も普通に生活する事が出来ます。もちろん治療は保険診療です
完全に「歯が抜けた」としてもかなりの確率でくっつきます(私の臨床経験ではほとんど100%)ので諦めずに抜けた歯は必ず持ってきて下さい
下の写真では転んで前歯が完全に抜けてしまった症例です。
道に左上の一番手前の歯は落ちていました、歯を支えている骨も骨折しており口の中も2針、唇も3針縫っています。
もちろん歯が抜けているのでハリガネと接着剤でとめています。4週間の固定で歯は完全にくっつきました、唇の傷も治って今では何もなかったかのようにキレイになっています。
ぶつけて歯が抜けても焦らず見つけて出来るだけ早く受診して下さい。 |

 |
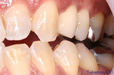
セラミックの症例です
セラミックの歯をかぶせた方の症例です。どの歯がかぶせものだか分かりますか?歯茎との色調も合っているので簡単にはどれがかぶせものだか分からないのではないでしょうか。
マウスを画像に乗せると答えが出ますよ |
 |
虫歯の治療の症例です
虫歯の治療です、保険診療では銀歯か強化プラスチックでの詰め物による治療となります。保険診療の銀歯は治療費も安く耐久性も申し分ないのですがどうしても銀色が気になるという方もいらっしゃると思います。
安易にプラスチックを詰めて光で固めるだけの治療だと色は白くていいのですが数年でプラスチックが破折してトラブルを起こします。
当院では第一選択は保険の銀歯ですが色が気になるという方にはセラミックとプラスチックの中間の素性をもつハイブリッドインレーをオススメしています
料金は15000円〜 |
 |
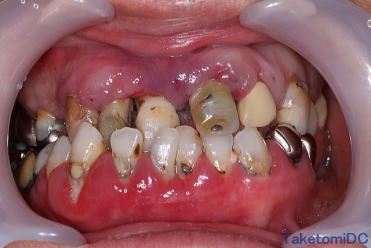
虫歯+不正咬合+歯槽膿漏の症例
虫歯と不正咬合と歯槽膿漏で悩まれていた患者さんの症例です。
下の歯を少し矯正しましたが後はすべて保険診療内で治しています。
矯正費用が10万円くらいかかりましたが全部で15万円くらいでここまで治っています。まだ歯槽膿漏の治療や小さな虫歯の治療は残っていますが見違えるほど綺麗になっています。
もちろん同じ方の写真ですよ! |
 |